No queremos aburrirte con la típica frase de que la naturaleza siempre nos asombra, que la naturaleza siempre se abre paso… Pero es que nos hemos encontrado con esta recopilación de algunas cosas curiosas sobre la naturaleza y nos ha parecido interesante poder compartirlo con todos vosotros.
Es cierto que algunas de las cosas que podrás encontrar a continuación no todas pertenecen a la “naturaleza” como tal, si no que encontrarás también otras igual de interesantes, así que ¡vamos a ello!
Plantas extraterrestres
¿Sabías que la NASA lleva experimentando con plantas mucho tiempo? Las primeras flores de la Estación Espacial Internacional fueron noticia hace un par de años cuando el comandante Scott Kelly de la expedición 46 compartió unas fotos en su cuenta de Instagram mostrando las primeras flores extraterrestes. Sí, sabemos que no están a años luz, si no más bien a unas 3 horas de vuelo desde La Tierra.


La flor más grande del mundo
Conocida como “El Aro Gigante” o “Bunga Bangkai” que significa “flor cadaver” en indonesio, es una planta originaria de las selvas tropicales de Indonesia que florece cada 40 años, y aunque ya es llamativa por ser de un tamaño enorme, tiene otra característica que no a muchos gusta: desprende un olor fétido a carne podrida para atraer a los insectos.

Puede superar los 3 metros de altura y su olor impide que podamos estar cerca de ella durante mucho tiempo. ¿Increíble verdad?

Si quieres leer más, te recomendamos leer este artículo de National Geographic
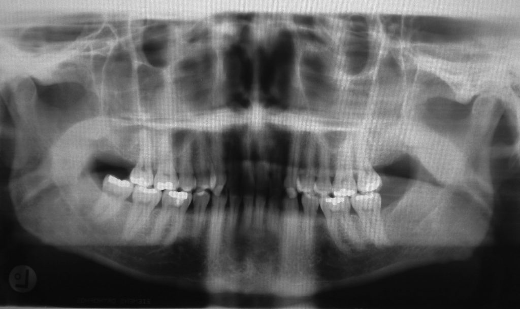
Objetos y cosas sometidas a Rayos X
A estas alturas todos nos hemos tenido que someter a los famosos Rayos X por algún motivo médico.

Pero, ¿Qué son los rayos X? Los rayos X son un tipo de radiación de ondas electromagnéticas que nos ayudan a ver el interior de un cuerpo en diferentes tonos de blancos y negros. Esto es posible gracias a que nuestros tejidos absorben diferentes cantidades de radiación. Por ejemplo, el tejido que más absorbe los rayos X son los huevos que aparecen en color blanco debido a la cantidad de calcio que contienen mientras que la grasa y otros tejidos más blandos absorben mucha menos cantidad y se ven de un color más gris.
Los rayos X nos permiten ver cosas con un método sencillo y que apenas perjudica al ser humano. ¿Te has preguntado alguna vez cómo se verían cosas muy randoms vistas con rayos X?





Una isla con un ADN desconocido
Las Islas Salomón situadas en Oceanía tiene una curiosidad que muy pocos conocen: todos o casi todos los habitantes de su isla poseen una curiosa combinación de pelo rubio y piel oscura. Según los investigadores, es poco probable que estas personas provengan de dos especies muy antiguas como el Neardental, si no que podrían provenir de un tercer pariente humano hasta ahora desconocido.

Si quieres saber más, puedes leer este artículo
La piel del tigre*
¿Sabías que los tigres tienen en la piel las mismas marcas negras que vemos en su pelo?

Aunque hemos intentado buscar mas información al respecto, no hemos encontrado mucho por Internet, pero parece ser que es cierto. Si algún veterinario o experto en estos felinos tiene más información… ¡Nos encantaría aprenderla!

Meteorito de Fukang
Imagina ir por la montaña de excursión y encontrarte una piedra tan bonita que te deja con la boca abierta. Eso es lo que le pasó a un excursionista en las montañas de Fukang, en China cuando se encontró con este meteorito del que no dudó en coger un fragmento para enviarlo a analizar a un laboratio de EEUU.

Esta hermosa roca confirmó ser un Palasito, un tipo de meteorito de cristales dorados compuesto por un mineral llamado olivina junto a otros compuestos como níquel y hierro. Según el laboratorio que lo analizó, se cree que este meteorito es muy raro de encontrar y que no representan ni el 1 por ciento de todos los meteoritos que existen.

Según indican, tiene aproximadamente 4.500 millones de años y proviene de la formación del Sistema Solar. La piedra original pesaba 450 kilos y desde entonces, ha sido cortada y subastada por todo el mundo, a excepción de 30 kilos aproximadamente que se encuentra en la Universidad de Arizona.

Mina subterránea de Potasio
El potasio es un elemento químico que pertenece a los metales alcalinos y es de color blanco-plateado.

Es muy abundante en la naturaleza, esencial y como característica llamativa es que se oxida muy rápido. Entre sus aplicaciones más comunes encontramos desde las células fotoeléctricas, pasando por fertilizantes, pólvora, fabricación de cristales hasta la provocación de un paro cardíaco en la inyección letal.





